티스토리 뷰
목차

폐농양은 폐 조직 내에 고름이 가득 찬 공동이 형성되는 심각한 질환입니다. 이 질환은 종종 치료되지 않은 폐렴이나 감염의 합병증으로 발생하여 건강에 심각한 문제를 일으킬 수 있습니다. 초기 증상을 인식하고, 근본적인 원인을 이해하며, 적시에 의료적인 개입을 받는 것이 중대한 합병증을 예방하는 데 중요합니다. 이 포스팅에서는 폐농양의 증상, 원인, 진단, 치료 방법에 대해 자세히 설명하여 이 잠재적으로 생명을 위협할 수 있는 질환을 효과적으로 관리할 수 있는 필수 정보를 제공합니다.
폐농양의 특징
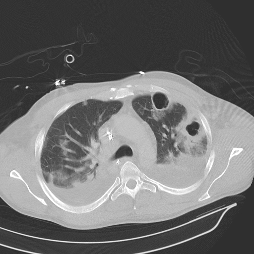
폐농양의 특징은 감염의 심각도와 개인의 전반적인 건강 상태에 따라 다를 수 있습니다. 가장 흔한 특징으로는 지속적인 기침이 있으며, 이 기침은 악취가 나거나 혈액이 섞인 가래를 동반할 수 있습니다. 또한 일반적인 치료에도 사라지지 않는 고열이 동반됩니다. 환자는 깊게 숨을 쉴 때 특히 심해지는 가슴 통증을 경험할 수 있으며, 이는 감염이 주변 조직을 자극하기 때문입니다. 이 특징은 폐 바깥의 막과 흉막에 염증이 생겼을 때 나타납니다. 이 특징들은 수일에서 수주동안 나타날 수 있습니다. 일부 경우에서는 폐농양이 커지면서 건강한 폐 조직을 압박하여 숨이 가빠지거나 호흡 곤란을 초래할 수 있습니다. 이러한 호흡기 증상 외에도 피로, 체중 감소, 야간 발한과 같은 전신 증상이 흔히 나타나며, 이는 신체가 감염에 대항하려고 애쓰고 있다는 신호입니다. 이러한 증상이 나타나면 즉각적인 의료적 조치가 필요합니다. 치료를 지연하면 농양이 커지거나 터져서 감염이 다른 부위로 퍼질 수 있습니다. 특히 면역 체계가 약한 사람이나 기저 질환이 있는 사람에게서는 폐농양의 진행이 빠르고 심각할 수 있으므로 조기 치료가 필수적입니다. 폐농양은 주로 세균 감염으로 인해 발생하며, 이는 황색포도상구균(Staphylococcus aureus), 폐렴구균(Streptococcus pneumoniae), 클렙시엘라 폐렴균(Klebsiella pneumoniae) 등의 균에 의한 폐렴 이후에 자주 나타납니다. 이러한 세균은 면역력이 약한 사람에게 특히 쉽게 폐 조직에 침투하여, 신체가 감염을 격리하려고 노력하면서 농양을 형성하게 됩니다. 음식물, 액체, 또는 기타 이물질이 폐로 흡입되면서 발생하는 경우도 많으며, 이는 주로 신경계 질환이 있거나 진정 상태에 있는 환자들에서 흔히 발생합니다. 또한, 구강 위생이 좋지 않은 것도 중요한 위험 요인입니다. 구강 내 세균이 폐로 흡입되어 감염을 일으킬 수 있기 때문입니다. 일부 경우에서는 종양에 의한 기관지 폐색이나 기관지확장증과 같은 만성 폐 질환으로 인해 폐농양이 2차적으로 발생할 수 있습니다. 이러한 원인을 이해하는 것은 폐농양의 발병을 예방하고 가장 효과적인 치료 전략을 수립하는 데 매우 중요합니다.
검사와 치료
폐농양을 진단하는 데는 보통 가슴 X선이나 컴퓨터 단층촬영(CT)과 같은 영상 검사들이 사용됩니다. 이러한 검사들은 폐 안에 공동이 존재하는지 여부를 확인하는 데 도움을 줍니다. 혈액 검사 및 가래 배양 검사를 통해 원인균을 확인하고 적절한 항생제 치료를 결정할 수도 있습니다. 일부 경우에는 기관지경 검사가 필요할 수 있으며, 이를 통해 농양으로부터 직접 샘플을 채취하거나 질환의 원인이 되는 폐색을 제거할 수 있습니다. 폐농양 치료는 보통 장기간의 항생제 치료로 시작하며, 종종 정맥 주사를 통해 투여됩니다. 항생제의 선택은 배양 검사 및 민감도 검사 결과에 따라 결정되며, 특정한 원인균을 목표로 하는 치료가 이루어집니다. 항생제에 반응하지 않거나 농양이 특히 큰 경우, 수술적 개입이 필요할 수 있습니다. 이 경우 농양을 바늘이나 튜브를 통해 배액 하거나, 심한 경우에는 폐의 일부를 제거하는 수술이 필요할 수 있습니다. 보조 치료로는 산소 요법과 호흡 재활 치료가 필요할 수도 있으며, 환자가 완전히 회복할 수 있도록 돕습니다. 환자의 상태가 호전되는지, 악화되는지에 대한 면밀한 관찰이 필요하며, 농양이 제대로 치료되지 않으면 패혈증이나 흉막삼출증과 같은 합병증이 발생할 수 있습니다. 조기 및 적극적인 치료는 이러한 심각한 결과를 예방하고 완전한 회복을 보장하는 데 필수적입니다.
예후
폐농양의 예후는 환자의 전반적인 건강 상태, 농양의 근본적인 원인, 그리고 치료의 시기적절성에 크게 좌우됩니다. 면역 체계가 약해진 환자, 예를 들어 HIV, 당뇨병, 만성 음주 문제를 겪는 환자는 더 긴 회복 기간과 복잡한 경과를 경험할 수 있습니다. 또한 농양을 일으킨 세균의 종류도 예후를 결정하는 데 중요한 역할을 합니다. 특히 흡인과 관련된 혐기성 세균은 치료가 더 어려워 항생제를 장기간 사용해야 할 수 있습니다. 초기에 진단되고 적절한 항생제 치료를 받는다면, 대부분의 폐농양 환자는 장기적인 부작용 없이 완전히 회복합니다. 하지만 크기가 큰 농양이나 일반적인 항생제에 내성을 가진 농양은 경피적 배액 또는 수술과 같은 침습적인 치료가 필요할 수 있습니다. 기저 질환이 있거나 폐 기능이 좋지 않은 환자는 회복 과정이 더 길어질 수 있으며, 재발이나 합병증의 위험도 높아집니다. 대부분의 폐농양 환자는 회복하지만, 근본적인 위험 요인이 해결되지 않으면 재발할 가능성이 있습니다. 흡연을 중단하고, 만성 질환을 관리하며, 삼키는 데 어려움이 있는 환자는 흡인을 피하는 것이 미래의 폐농양 발생을 예방하는 데 매우 중요합니다. 재발하거나 폐 손상이 심각한 경우, 장기적인 호흡 치료나 영향을 받은 폐 조직의 수술적 절제가 필요할 수 있으며, 이는 환자의 삶의 질을 개선하는 데 도움을 줄 수 있습니다. 폐농양은 신속하고 효과적인 의료 치료가 필요한 심각한 폐 질환입니다. 증상과 원인을 이해함으로써 적절한 시기에 치료를 받을 수 있으며, 이는 농양이 더 심각한 상태로 진행되는 것을 예방하는 데 매우 중요합니다. 진단은 보통 영상 검사와 미생물 검사의 조합으로 이루어지며, 적절한 항생제나 수술적 치료를 선택하는 데 중요한 역할을 합니다. 구강 위생 유지, 흡입 위험 회피, 기저 질환 관리와 같은 예방 조치들은 폐농양 발생 위험을 줄이는 데 매우 중요합니다. 적절한 관리로 대부분의 환자는 완전히 회복할 수 있지만, 조기 발견과 치료의 중요성은 아무리 강조해도 지나치지 않습니다. 정보에 대한 경각심을 갖고 주의를 기울임으로써, 이 잠재적으로 생명을 위협할 수 있는 질환으로부터 자신을 보호하고 호흡기 건강을 유지할 수 있습니다.