티스토리 뷰
목차

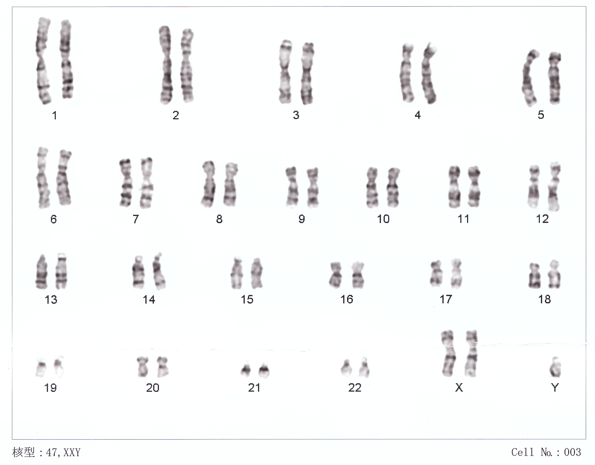
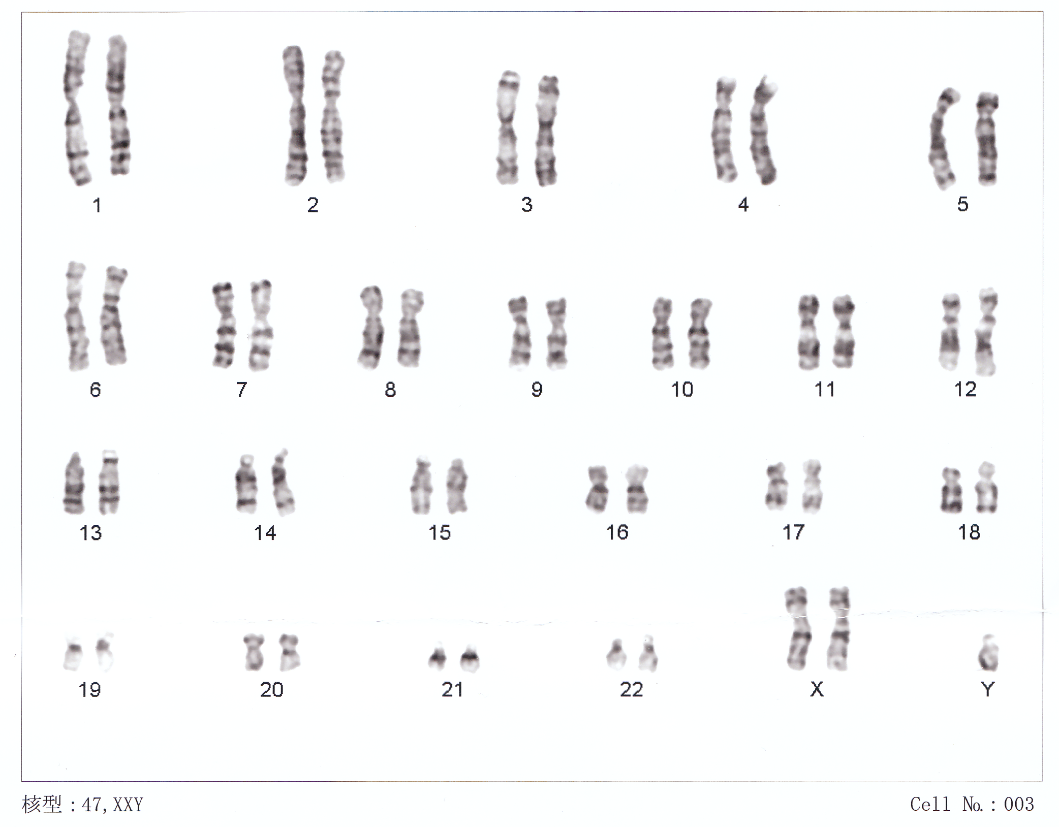
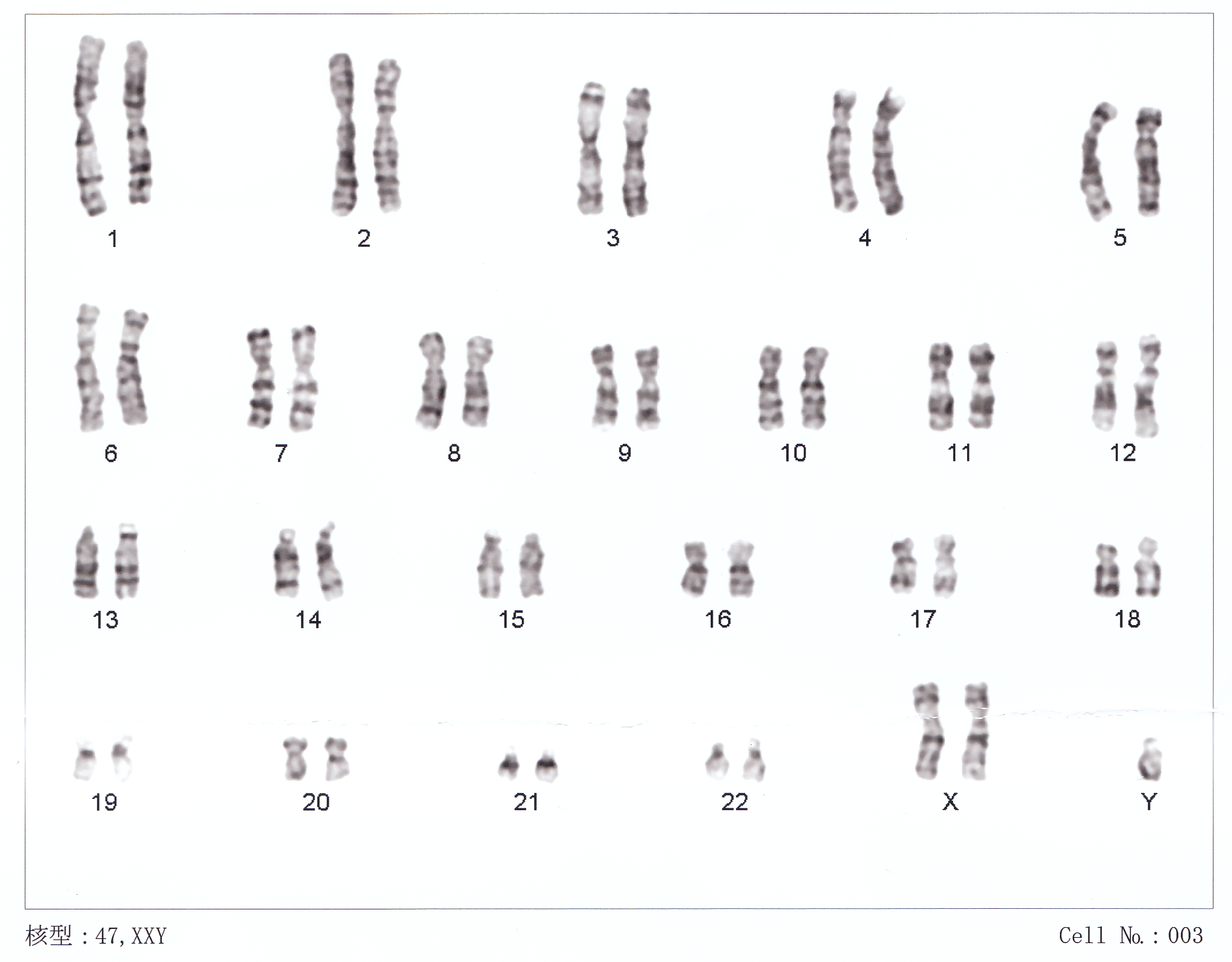
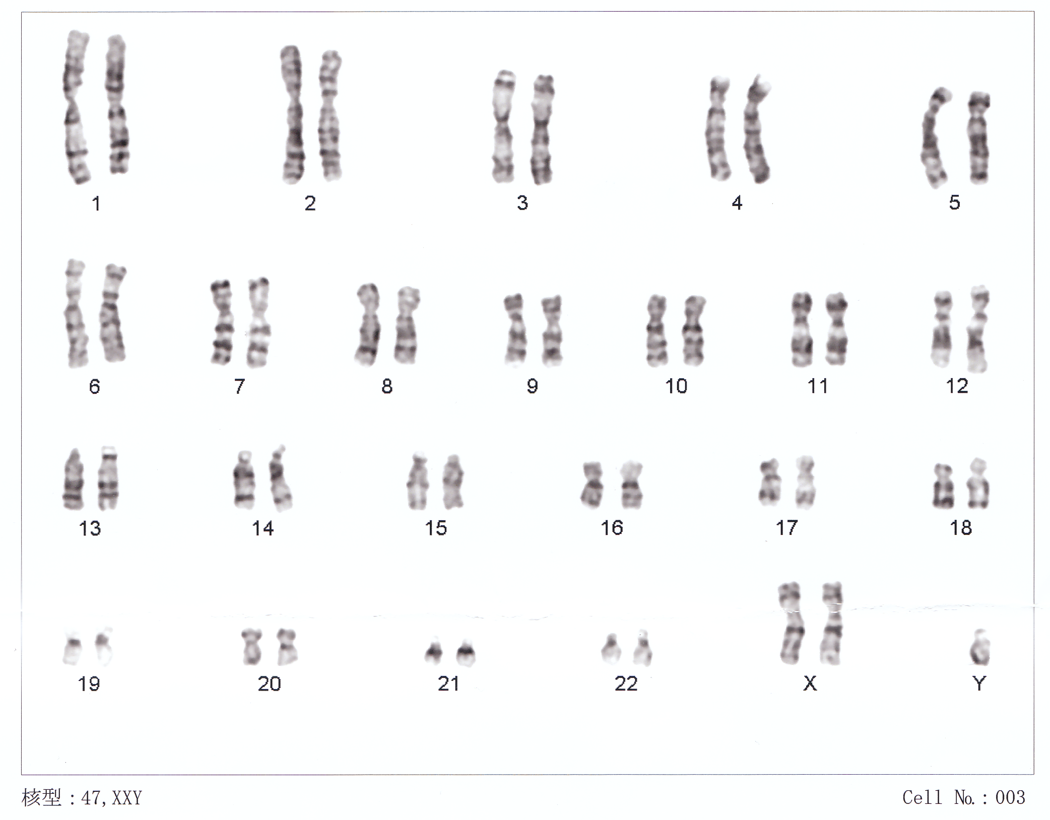
클라인펠터 증후군은 남성에게 영향을 미치는 유전적 질환으로, 일반적으로 추가적인 X 염색체로 인해 발생합니다. 일반적인 남성은 하나의 X와 하나의 Y 염색체를 가지지만, 클라인펠터 증후군을 가진 사람은 두 개의 X 염색체와 하나의 Y 염색체(47, XXY)를 가지고 있습니다. 이 추가적인 염색체는 신체적, 발달적, 그리고 생식과 관련된 다양한 문제를 일으킬 수 있습니다. 클라인펠터 증후군은 증상이 경미하거나 사람마다 다르게 나타날 수 있어 자주 진단되지 않는 경우가 많습니다. 이번 포스팅에서는 클라인펠터 증후군의 주요 특징, 원인, 치료 옵션 및 잠재적인 합병증에 대해 알아보겠습니다.
클라인펠터 증후군의 증세
클라인펠터 증후군은 다양한 방식으로 나타나며, 증세는 보통 사춘기에 더욱 뚜렷해집니다. 증세를 일찍 알아차리고 개입하는 것이 이 질환을 효과적으로 관리하는 데 중요합니다. 클라인펠터 증후군을 가진 사람들은 몇 가지 독특한 신체적 특징을 보일 수 있습니다. 이들은 평균보다 키가 크고, 팔다리가 길며, 또래에 비해 근육량이 적을 수 있습니다. 유방 조직이 발달하는 여성형 유방이 흔히 나타나며, 얼굴과 체모가 적게 자라는 경우도 있습니다. 또한, 고환이 작아져 테스토스테론 수치가 감소하게 되어 성적 발달과 생식 능력에 영향을 미칠 수 있습니다. 일반적으로 불임, 여성형 유방을 검사하다가 우연히 진단됩니다. 클라인펠터 증후군은 인지 및 발달적인 측면에도 영향을 줄 수 있습니다. 일부 사람들은 특히 언어와 읽기에서 학습 장애를 경험할 수 있으며, 이는 학업 성취에 어려움을 초래할 수 있습니다. 운동 능력 또한 영향을 받아 협동력이 떨어질 수 있습니다. 지능은 일반적으로 정상 범위에 속하지만, 일부는 경미한 지적 장애나 사회적 상호작용에 어려움을 겪을 수 있습니다. 클라인펠터 증후군이 가장 크게 영향을 미치는 부분은 생식 건강입니다. 이 질환은 일반적으로 고환 기능 저하증을 일으켜 테스토스테론이 충분히 생산되지 않습니다. 이는 사춘기의 미완성, 성욕 감소, 정자 세포 발달 부족으로 인한 불임으로 이어질 수 있습니다. 클라인펠터 증후군을 가진 남성은 또한 낮은 테스토스테론 수치로 인해 골다공증 및 대사 질환의 위험이 높아질 수 있습니다.
발병요인
클라인펠터 증후군은 생식 세포가 형성되는 과정에서 발생하는 무작위적인 오류로 인해 발생하는 질환입니다. 이 질환의 기초를 이해하는 것은 중요합니다. 클라인펠터 증후군의 근본 원인은 추가적인 X 염색체의 존재입니다. 일반적으로 인간은 두 개의 성염색체를 포함한 46개의 염색체를 가지고 있습니다. 하지만 클라인펠터 증후군에서는 남성이 한 개 이상의 추가적인 X 염색체를 가지게 되며, 가장 흔한 경우 47, XXY 염색체형을 가지게 됩니다. 이러한 염색체 이상은 무작위적으로 발생하며 부모에게서 유전되지 않습니다. 이 추가적인 X 염색체는 특정 유전자의 과발현을 유도하여 클라인펠터 증후군의 증상을 유발합니다. 클라인펠터 증후군은 무작위적인 유전적 사건이지만, 몇 가지 요인이 발생 가능성을 높일 수 있습니다. 고령 임신이 그중 하나이며, 어머니의 나이가 많을수록 염색체 이상 발생 위험이 증가합니다. 그러나 대부분의 경우 특정 위험 요소 없이 발생하며, 부모의 건강이나 생활 방식에 영향을 받지 않습니다. 47, XXY 형태가 가장 일반적이지만, 일부 사람들은 추가적인 X 염색체(예: 48, XXXY 또는 49, XXXXY)를 가지고 있을 수 있으며, 이는 더 심각한 증상으로 이어질 수 있습니다. 이러한 변이는 드물지만, 더 뚜렷한 신체적, 인지적, 발달적 문제를 유발할 수 있습니다. 그러나 근본적인 원인은 생식 세포 형성 과정에서의 무작위적인 오류로 동일합니다.
치료
클라인펠터 증후군을 완치할 수 있는 방법은 없지만, 다양한 치료법으로 증상을 관리하고 삶의 질을 개선할 수 있습니다. 조기 진단과 다학제적 접근이 최적의 결과를 위해 중요합니다. 클라인펠터 증후군 치료의 핵심은 테스토스테론 대체 요법(TRT)입니다. TRT는 낮은 테스토스테론 수치와 관련된 많은 증상, 예를 들어 여성형 유방, 근육량 감소, 성욕 저하 등을 해결하는 데 도움을 줍니다. 또한, 얼굴 털과 깊은 목소리 등 이차 성징의 발달을 지원합니다. 사춘기 동안 TRT를 시작하면 정상적인 신체 발달을 촉진하고, 골 밀도를 개선하며, 전반적인 건강과 행복감을 향상시킬 수 있습니다. 클라인펠터 증후군을 가진 사람들은 그들의 특정 요구에 맞춘 교육적 치료로부터 혜택을 받을 수 있습니다. 언어 및 언어 치료는 의사소통의 어려움을 해결하는 데 도움을 줄 수 있으며, 작업 치료는 운동 능력과 협동력 향상에 기여할 수 있습니다. 또한, 심리적 지원, 상담 및 사회적 기술 훈련은 감정적 및 사회적 도전을 관리하는 데 유용할 수 있습니다. 불임은 클라인펠터 증후군을 가진 남성에게 흔한 문제입니다. 그러나 보조 생식 기술(ART)의 발전으로 일부 남성이 생물학적 자녀를 가질 수 있게 되었습니다. 정자 세포 채취(TESE)와 미세수정(ICSI) 같은 방법을 통해 고환에서 직접 정자를 추출하여 수정에 사용할 수 있습니다. 조기 진단과 생식 전문가와의 상담을 통해 가장 적합한 치료 방향을 결정할 수 있습니다. 클라인펠터 증후군은 신체적, 인지적, 생식 건강에 광범위한 영향을 미칠 수 있는 복잡한 유전 질환입니다. 이 질환을 완치할 수는 없지만, 조기 진단과 종합적인 치료 계획을 통해 영향을 받은 사람들의 삶의 질을 크게 개선할 수 있습니다. 호르몬 대체 요법, 교육적 지원, 불임 치료는 이 증후군을 관리하는 중요한 요소들입니다. 클라인펠터 증후군의 특징, 원인, 치료 옵션에 대한 이해는 개인, 가족, 그리고 의료 제공자 모두에게 매우 중요합니다. 이 질환에 대해 선제적으로 대처함으로써 많은 도전을 완화하고, 클라인펠터 증후군을 가진 사람들이 충만한 삶을 살아갈 수 있도록 지원할 수 있습니다.