티스토리 뷰
목차

녹내장은 시력을 유지하는 데 중요한 시신경에 손상을 일으키는 안과 질환의 일종입니다. 이러한 손상은 대개 눈 내부의 비정상적으로 높은 압력에 의해 발생하며, 치료하지 않을 경우 실명에 이를 수 있습니다. '조용한 시력 도둑'으로 알려진 녹내장은 눈에 띄는 증상이 없기 때문에, 상당한 시력 손실이 발생한 후에야 인지될 수 있습니다. 따라서 초기 발견과 치료가 영구적인 손상을 예방하는 데 매우 중요합니다. 이 포스팅에서는 녹내장의 증상, 원인, 진단 및 치료 방법을 다루며, 시력을 보호하기 위한 필수 정보를 제공합니다.
녹내장의 증상
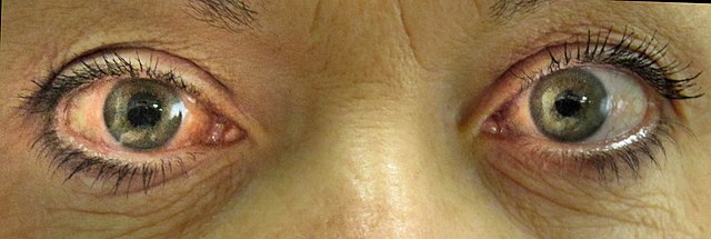
녹내장의 증상은 질환의 유형과 단계에 따라 다양할 수 있습니다. 가장 흔한 형태인 개방각 녹내장은 초기 단계에서는 일반적으로 증상이 없습니다. 이 질환은 서서히 진행되며, 증상이 눈에 띌 때쯤이면 이미 되돌릴 수 없는 손상이 발생했을 수 있습니다. 이러한 이유로, 40세 이상이거나 녹내장 가족력이 있는 경우 정기적인 안과 검진이 필수적입니다. 질환이 더 진행된 경우, 주변 시야나 중심 시야에 부분적인 실명 지점이 나타날 수 있으며, 보통 양쪽 눈에서 동시에 발생합니다. 이러한 실명 지점이 연결되면서 터널 시야로 발전할 수 있으며, 치료하지 않을 경우 결국 완전한 실명에 이를 수 있습니다. 또 다른 형태인 급성 폐쇄각 녹내장은 응급 상황으로, 심한 안구 통증, 두통, 메스꺼움, 구토, 흐릿한 시야 및 빛 주위에 후광이 보이는 등의 갑작스러운 증상이 나타날 수 있습니다. 이러한 경우 즉각적인 의학적 조치가 필요합니다. 이러한 일반적인 증상 외에도, 일부 사람들은 눈의 발적, 눈의 불편감, 또는 압박감을 경험할 수 있습니다. 이 증상들은 다른 안과 질환과도 관련이 있을 수 있기 때문에, 안과 전문가에 의한 정확한 진단이 필수적입니다. 정기적인 안과 검진을 통해 조기에 발견하는 것이 녹내장으로 인한 시력 손실을 막는 가장 좋은 방법입니다.
요인
녹내장은 주로 안압 상승에 의해 발생하며, 이는 시신경을 손상시킵니다. 눈은 방수액이라는 액체를 생성하며, 이 액체는 섬유주망이라는 통로를 통해 흐릅니다. 이 통로가 막히거나 눈에서 너무 많은 액체가 생성될 때 눈 안의 압력이 증가하여 시신경 손상이 발생할 수 있습니다. 그러나 일부 사람들은 정상적인 안압을 가지고 있음에도 불구하고 녹내장을 발병하기도 하며, 이는 다른 요인이 작용하고 있을 가능성을 시사합니다. 유전은 녹내장 발병에 중요한 역할을 합니다. 녹내장 가족력이 있는 경우, 발병 위험이 더 높습니다. 나이 또한 중요한 요인으로, 60세 이상의 사람들은 녹내장에 더 취약하며, 나이가 들수록 위험이 증가합니다. 인종 역시 녹내장 위험에 영향을 미치며, 아프리카계 미국인, 히스패닉, 아시아인들은 다양한 유형의 녹내장에 더 취약합니다. 예를 들어, 개방각 녹내장은 아프리카계 미국인에서 더 흔하게 나타나며, 아시아인들은 폐쇄각 녹내장을 발병할 가능성이 더 높습니다. 당뇨병, 고혈압, 심장병과 같은 특정 질환도 녹내장 발병 위험을 높일 수 있습니다. 또한, 특히 눈에 사용하는 스테로이드의 장기 사용은 안압을 상승시킬 수 있습니다. 그 외에도 심각한 안구 부상, 눈 염증, 얇은 각막, 시신경 문제의 병력이 있는 경우 위험이 증가할 수 있습니다. 이러한 위험 요소를 이해함으로써, 정기적인 안과 검진을 받고 기저 건강 상태를 관리하는 등 녹내장 발병 가능성을 줄이기 위한 적극적인 조치를 취할 수 있습니다.
진단과 관리
녹내장을 진단하기 위해서는 안과 의사나 검안사가 종합적인 안과 검진을 실시합니다. 가장 일반적인 검사는 안압을 측정하는 안압계 검사입니다. 정상보다 높은 압력 수치는 녹내장 위험을 시사할 수 있지만, 이것만으로 진단할 수는 없습니다. 시신경 손상을 확인하는 검안경 검사와 주변 시야를 평가하는 시야 검사도 중요한 진단 도구입니다. 또한, 눈의 배출각을 검사하여 녹내장의 유형을 확인하는 각경 검사도 사용할 수 있습니다. 광학 단층 촬영(OCT)과 같은 고급 영상 기술은 시신경의 상세 이미지를 제공하며, 손상의 초기 징후를 발견할 수 있습니다. 녹내장의 치료는 안압을 낮추어 시신경 손상을 방지하는 데 중점을 둡니다. 초기 치료는 일반적으로 눈의 액체 생성을 줄이거나 배출을 개선하는 처방 안약을 사용하는 것입니다. 흔히 사용되는 약물로는 프로스타글란딘, 베타 차단제, 알파 작용제, 탄산탈수효소 억제제 등이 있습니다. 처방된 약물 요법을 엄격히 준수하는 것이 질환을 효과적으로 관리하는 데 매우 중요합니다. 만약 약물이 충분하지 않을 경우, 레이저 치료나 수술이 권장될 수 있습니다. 레이저 섬유주성형술은 개방각 녹내장의 배출을 개선하는 데 자주 사용되며, 레이저 홍채절개술은 폐쇄각 녹내장에서 흔히 사용됩니다. 수술 옵션으로는 새로운 배출 통로를 생성하는 섬유주절개술과 눈에서 액체가 빠져나갈 수 있도록 돕는 배출 임플란트가 있습니다. 일부 경우에는 여러 가지 치료법을 병행해야 할 수도 있습니다. 정기적인 추적 진료는 치료의 효과를 모니터링하고 필요한 경우 조정을 하는 데 필수적입니다. 녹내장은 심각하고 잠재적으로 실명으로 이어질 수 있는 안과 질환으로, 조기 발견과 효과적인 관리가 시력을 보존하는 데 매우 중요합니다. 녹내장의 증상, 원인 및 치료 옵션을 이해함으로써, 안구 건강을 보호하기 위한 적극적인 조치를 취할 수 있습니다. 특히 높은 위험군에 속하는 경우, 정기적인 안과 검진이 필수적이며, 이는 녹내장을 가장 치료하기 쉬운 초기 단계에서 발견할 수 있는 기회를 제공합니다. 정확한 진단과 종합적인 치료 계획을 통해, 녹내장을 가진 많은 사람들은 질환을 관리하고 삶의 질을 유지할 수 있습니다. 안구 건강에 대한 정보를 지속적으로 얻고 경계심을 유지함으로써, 앞으로도 오랜 기간 동안 시력을 보호할 수 있습니다.